Biblioteca di Scienze della terra e del mare | settimana delle biblioteche 2025 |
Le rocce organo-sedimentarie e la ricerca della vita in ecosistemi estremi e al di fuori del pianeta Terra
Biblioteca di Scienze della terra e del mare
Via Archirafi, 22
7 maggio, ore 9.00 - Seminario di studi
Le rocce organo-sedimentarie e la ricerca della vita in ecosistemi estremi
e al di fuori del pianeta Terra
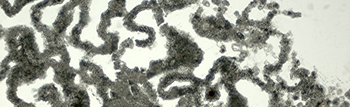
Il seminario racconta la scoperta, nel 1996, ad opera di un team della NASA, di evidenze di vita passata su Marte. L’annuncio ha segnato l’inizio di un filone di ricerca, che coinvolge tuttora microbiologi e petrografi, rivolto allo studio di strutture analoghe sulla Terra.
Un affascinante viaggio attraverso immagini davvero uniche, fatte al microscopio elettronico, di campioni terrestri, strutture minerali con particolari caratteristiche tessiturali e composizionali, e strutture organo-sedimentarie.
Organizzazione dell’evento:
dott.ssa Fiorella Saccone, Responsabile di Biblioteca.
Partecipa:
prof.ssa Giovanna Scopelliti, Docente di Petrografia.
